Bắt vít niềng răng là một trong những kỹ thuật mang tính cách mạng quan trọng nhất của việc chỉnh nha. Việc sử dụng thiết bị neo tạm thời giúp răng được di chuyển nhanh hơn, do đó rút ngắn thời gian điều trị. Nha Khoa Miền Tây – địa chỉ niềng răng Cần Thơ uy tín sẽ giúp bạn hiểu thêm về thủ thuật này, cũng như các vấn đề liên quan trong bài viết sau.
Vít niềng răng là gì?
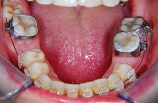
Vít niềng răng (thiết bị cấy ghép mini hay thiết bị neo tạm thời) là một khí cụ nhỏ (đường kính từ 1,5 đến 2mm) được đưa hoặc vặn vào xương hàm qua nướu để kiểm soát sự di chuyển của răng trong quá trình niềng răng. Thủ thuật bắt vít niềng răng đã được đưa vào điều trị chỉnh nha trong hàng chục năm qua. Các thiết bị neo tạm thời thường được làm từ titan hoặc hợp kim của titan. Có nhiều loại vít niềng răng khác nhau nhưng chúng đều thường được cấu tạo từ ba phần chính:
- Phần đầu (supra-gingival): Là phần tiếp nối giữa thiết bị neo tạm thời và dây nối với niềng.
- Vòng cổ hay vòng xuyên niêm mạc.
- Chỉ (intra-osseous): Giúp cố định thiết bị neo tạm thời vào vị trí cần bắt vít niềng răng.
Các loại vít niềng răng bắt nguồn từ công nghệ cố định xương và chủ yếu dựa trên sự duy trì cơ học. Vít được cố định nằm trong xương thông qua sự liên kết vật lý của sợi vít và xương. Các vít này có thể được lắp vào và tháo ra bất cứ lúc nào dưới sự hỗ trợ của nha sĩ. Mục đích của việc lắp tạm thời vào xương là tạo khung xương hoặc nơi neo giữ lực tác động lên răng.

Khi nào cần bắt vít niềng răng?
Vít niềng răng được kết hợp trong điều trị chỉnh nha nhằm tạo ra một cấu trúc ổn định để cố định các loại di chuyển răng khác nhau. Thủ thuật được sử dụng trong nhiều trường hợp: chỉnh sửa răng hô quá nhiều, khớp cắn sâu, khớp cắn hở, cười lộ nướu… Ngoài ra, bắt vít niềng răng cũng được sử dụng để điều trị các vấn đề khớp cắn liên quan đến sự sai lệch hàm.
Răng bị hô, vẩu
Đối với răng bị các khuyết điểm như: hô, vẩu, lệch lạc, răng mọc chìa nhiều ra ngoài,… sử dụng thiết bị neo tạm thời sẽ tạo điểm cố định giúp tăng lực kéo răng về đúng cấu trúc giải phẫu. Nếu trực tiếp chỉnh nha mà không bắt vít niềng răng, bạn có thể mất nhiều thời gian để răng đạt được kết quả đều đẹp.
Răng bị hở lợi
Trong trường hợp này, việc bắt vít niềng răng giúp người bệnh có thể được điều chỉnh hàm ở mức tương đối, hỗ trợ khớp cắn đúng tỷ lệ. Sử dụng thiết bị neo tạm thời trong thời gian nhất định có thể kéo thẳng tư thế, di chuyển các răng và cải thiện được tình trạng thẩm mỹ khuôn mặt cho bệnh nhân.
Xương hàm của bạn quá cứng
Xương hàm cứng là vấn đề trong việc di chuyển răng khi niềng, dẫn đến khó sắp xếp để răng đều, đẹp và mất nhiều thời gian để niềng hơn. Đối với một số trường hợp cần nhổ răng để tạo khoảng trống cho răng di chuyển trong quá trình niềng, xương hàm cứng cũng ảnh hưởng rất nhiều đến việc này. Do đó, bắt vít niềng răng được xem là giải pháp hỗ trợ để di chuyển răng đều đẹp hơn.
Bị mất răng
Nếu bạn bị mất răng, đặc biệt là răng số 6 sẽ gặp nhiều khó khăn trong việc chỉnh nha di chuyển đúng với mong muốn. Vì thế, việc bắt vít niềng răng sẽ hỗ trợ quá trình chỉnh nha đạt được kết quả như mong muốn. Vị trí đặt vít phụ thuộc vào vị trí răng mất và kinh nghiệm của bác sĩ nha khoa.

Các trường hợp cần nhổ răng số 4 và 5
Một số trường hợp khi niềng răng cần nhổ răng số 4 hoặc 5 để lấy khoảng trống và di chuyển răng về đúng vị trí mong muốn. Tuy nhiên, nếu khung xương hàm quá cứng, việc kéo răng về sẽ mất rất nhiều thời gian và gây khó chịu cho bạn. Vì thế, bắt vít niềng răng là một phương pháp để hỗ trợ quá trình này được diễn ra nhanh chóng hơn.
Bắt vít niềng răng có đau không? Có ảnh hưởng gì không?
Bạn có thể cảm thấy ê nhẹ khi thực hiện cắm vít niềng răng. Sau khi hết thuốc tê, bạn sẽ có cảm giác ê nhẹ trong vài giờ đầu và sẽ giảm dần sau đó. Người bệnh có thể sử dụng các loại thuốc giảm đau nhẹ có thành phần paracetamol hoặc ibuprofen để giảm cảm giác khó chịu. Khu vực bắt vít niềng răng có thể sẽ khó chịu trong một đến hai ngày đầu.
Vít niềng răng có thể gây ra một số ảnh hưởng đối cơ thể nhưng không quá nghiêm trọng như:
- Các vấn đề về mô mềm: Mô tiếp giáp với đầu vít có thể bị tổn thương, nhất là khi nó có các cạnh nổi rõ hoặc sắc nhọn. Nhiễm trùng quanh vít thường ở bề mặt và có thể tự phục hồi. Tình trạng viêm mô mềm thường đến từ việc hỏng hóc của vít được bắt vào xương.
- Tổn thương chân răng: Vị trí bắt vít niềng răng thường là giữa các chân răng. Vì thế, tổn thương tại vị trí này có nguy cơ cao xảy ra. Các tổn thương này sẽ tự hồi phục từ 12 đến 18 tháng sau khi tháo vít.
- Nhiễm trùng: Rất khó xảy ra nhiễm trùng tại khu vực này nếu người bệnh giữ gìn sạch sẽ khoang miệng.
Quy trình cắm vít niềng răng
Bắt vít niềng răng cần được thực hiện tại cơ sở nha khoa uy tín và có trình độ chuyên môn cao. Việc thực hiện đúng quy trình và kỹ thuật có thể giúp bệnh nhân hạn chế tổn thương và giảm các nguy cơ biến chứng. Thời gian bắt vít thường kéo dài từ 5 đến 10 phút.

Một quy trình cắm vít niềng răng thường tuân theo các bước sau:
- Bước 1: Bác sĩ yêu cầu người bệnh chụp X-Quang để hiểu rõ hơn về cấu trúc xương hàm, sau đó đề xuất phương án và lựa chọn loại thiết bị neo tạm thời phù hợp.
- Bước 2: Thoa tê và tiêm tê được sử dụng để làm tê khu vực bắt vít niềng răng. Bác sĩ cũng sẽ yêu cầu bệnh nhân sử dụng nước súc miệng kháng khuẩn trước đó.
- Bước 3: Thiết bị neo tạm thời có thể được xoáy nhẹ vào xương hàm hoặc trong một số trường hợp có thể sẽ khoan một lỗ trước để đặt vít.
- Bước 4: Chất dẻo đàn hồi dùng trong chỉnh nha hoặc nẹp răng có thể được gắn ngay hoặc muộn hơn để bắt đầu dịch chuyển răng. Việc này tùy thuộc vào tình trạng hiện tại của bạn.
Chi phí cắm vít niềng răng là bao nhiêu?
Hiện nay, chi phí bắt vít niềng răng trên thị trường giao động từ 2.000.000 đến 4.000.000 đồng đối với một vít. Tùy thuộc vào tình trạng răng hàm của bạn mức giá có thể thay đổi. Nếu bạn có nhu cầu niềng răng thẩm mỹ tại Cần Thơ, dưới đây là bảng giá tại Nha Khoa Miền Tây cho các chi phí phát sinh khi niềng răng. Cụ thể:
- Giá khoảng 2.000.000 đồng đối với dịch vụ bắt vít niềng răng.
- Giá từ 30.000.000 đến 35.000.000 đồng đối với niềng răng mắc cài kim loại.
- Giá từ 40.000.000 đến 45.000.000 đồng đối với niềng răng mắc cài kim loại tự buộc.
- Giá từ 40.000.000 đến 45.000.000 đồng đối với niềng răng mắc cài sứ (niềng răng thẩm mỹ).
- Giá từ 55.000.000 đến 60.000.000 đồng đối với niềng răng mắc cài sứ tự buộc (niềng răng thẩm mỹ).
- Giá từ 50.000.000 đến 55.000.000 đồng đối với niềng răng mắc cài sứ – dây cung thẩm mỹ (một năm). Giá chưa bao gồm chi phí bắt vít niềng răng (nếu có).
- Giá từ 65.000.000 đến 70.000.000 đồng đối với niềng răng mắc cài sứ tự buộc – dây cung thẩm mỹ (một năm).
- Giá từ 68.000.000 đến 115.000.000 đồng đối với niềng răng thẩm mỹ invisalign (niềng răng thẩm mỹ không mắc cài) và mắc cài mặt lưỡi.
- Giá từ 10.000.000 đến 15.000.000 đồng đối với twinblock, face mask, headgear.
- Giá khoảng 2.000.000 đồng đối với dịch vụ mặt phẳng nghiêng.
- Giá khoảng 5.000.000 đồng đối với dịch vụ nới rộng cung hàm.
Cách chăm sóc răng miệng sau khi bắt vít niềng răng
Sau khi thực hiện cắm vít niềng răng, nướu xung quanh phải được gìn giữ sạch sẽ và hạn chế các tác động trực tiếp nhằm đảm bảo tuổi thọ của vít. Mảng bám hay mảnh vụn thức ăn còn sót lại có thể gây viêm, nhiễm trùng và hỏng vít niềng.
Bàn chải điện và bàn chải đánh răng bản to không được khuyến khích sử dụng. Thay vào đó, người bệnh nên sử dụng bàn chải tay bản nhỏ và kết hợp cùng kem đánh răng có chứa flour để chải nhẹ quanh đầu vít.
Năm ngày đầu sau khi cắm vít niềng răng, bạn nên sử dụng nước muối sinh lý hoặc dung dịch vệ sinh khoang miệng thường xuyên để loại bỏ vi khuẩn gây hại.

Bạn không nên sử dụng các chất kích thích như: thuốc lá, bia, rượu,… trong 24 giờ kể từ thời điểm bắt vít niềng răng. Đồ ăn mềm không cần phải nhai quá nhiều như: cháo, bún, phở,… sẽ giúp hạn chế tác động lên vị trí cắm vít. Thực phẩm cứng, quá chua, quá cay hay mặn đều cần phải hạn chế trong 1 – 2 ngày đầu kể từ khi bắt vít.
Tránh việc nghịch hay tác động lực vào vít bằng tay hoặc lưỡi để vùng bị tổn thương dần trở nên ổn định. Chườm lạnh hoặc sử dụng thuốc giảm đau có thể được sử dụng trong những ngày đầu khi bắt vít niềng răng.
Hầu hết các vít niềng răng trong quá trình điều trị mắc cài rất ổn định, ít gây kích ứng và khó chịu cho người bệnh. Trong một số trường hợp, vít niềng răng có thể bị lỏng và cần phải loại bỏ hoặc thay thế. Đặt một lượng nhỏ sáp chỉnh nha lên đầu vít có thể giảm bớt cảm giác khó chịu trong thời gian đầu. Cần liên hệ với bác sĩ nha khoa khi phát hiện các bất thường trong quá trình bắt vít niềng răng như: chảy máu liên tục, sưng, đau hoặc khó chịu tại vị trí bắt vít.
Nha Khoa Miền Tây – Địa chỉ niềng răng uy tín và chất lượng
Nha Khoa Miền Tây hiện đang triển khai chương trình niềng răng trả góp không lãi suất tại Cần Thơ và các khu vực lân cận. Bạn có thể sở hữu nụ cười rạng ngời và khuôn mặt đạt chuẩn hơn nhờ vào hàm răng đồng đều. Ngoài ra, Nha Khoa Miền Tây còn sở hữu đội ngũ bác sĩ có tay nghề và chuyên môn cao trong thủ thuật bắt vít niềng răng, giúp bệnh nhân hạn chế đau đớn khi chỉnh nha. Để được tư vấn sớm nhất, bệnh nhân có thể liên hệ với chúng tôi qua hotline 0326.160.099 ngay hôm nay!
Bắt vít niềng răng là một trong những thủ thuật phổ biến trong chỉnh nha. Sự ra đời của thiết bị neo tạm thời giúp cải thiện khả năng di chuyển răng về đúng vị trí và định hình cấu trúc hàm nhanh chóng hơn. Từ đó, người bệnh có thể nhanh chóng lấy lại tự tin và sở hữu nụ cười hằng mong ước.
THÔNG TIN LIÊN HỆ:
- Địa chỉ: 142 đường 30/4, P. An Phú, Q.Ninh Kiều, Tp.Cần Thơ.
- Giờ làm việc: Thứ 2 đến Chủ nhật, từ 08h00 -21h00 (kể cả ngày lễ).
- Điện thoại: 0292.246.0357 – 0292.246.0356
- Hotline: 0326.160,099
- Zalo: 0326.160,099 – 0986.805.480
- Website: https://nhakhoamientay.com
- Email: nhakhoamientay@gmail.com
- Tiktok: https://vt.tiktok.com/ZSeLsRwC8/



